Carolina Vizuet Durán

6 de diciembre del 2015

El neurofeedback es una herramienta efectiva, no invasiva, para normalizar el funcionamiento del cerebro cuando existen enfermedades neurológicas o psiquiátricas.

Para comprender cómo el neurofeedback logra la normalización de la función cerebral, se han realizado numerosos estudios con instrumentos que arrojan imágenes del cerebro mientras se realiza una tarea. Apenas hace nueve años, los investigadores  Levesque,  Beauregard y Mensour, publicaron el primer estudio que mostraba cambios en la función del cerebro derivados del neurofeedback.

Hoy en día existen numerosos estudios que siguen demostrando cambios positivos significativos en la función del cerebro después de entrenar con neurofeedback. Hay algunas investigaciones en donde se evaluó el funcionamiento del cerebro al realizar tareas cognitivas de diferentes tipos antes y después de entrenar con neurofeedback. Más sorprendente aún, hay otros estudios que evalúan la función del cerebro ¡mientras se está entrenando con neurofeedback!

Fig. 2. Se muesta un resonador, equipo con el que se realiza una RMF.

Posiblemente, por su alta resolución en las imágenes y por ser un estudio no invasivo, el Escaner de Resonancia Magnética Funcional (RMF) es uno de los instrumentos que se utiliza en la mayoría de dichos estudios. Como lo muestra la imagen de la derecha, se introduce a la persona en un resonador para escanear su cerebro cuando está realizando una tarea específica

¿Cómo funciona a la RMF?

Por ejemplo, se puede solicitar a la persona mover su mano durante un tiempo, la región cerebral que tiene participación en el movimiento de la mano presentará vasodilatación, y ocasionará que cambie la concentración de desoxihemoglobina de la zona. Esto provoca un cambio del magnetismo local, detectado por el resonador. El área que presentó el cambio se puede observar como una zona de color sobre el fondo de grises de la resonancia (como se muestra en las imágenes). 

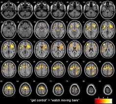
Los investigadores Levesque,  Beauregard y Mensour. (2006) trabajaron con dos grupos de niños con Trastorno por Déficit de Atención con Hiperactividad (TDAH); la mitad formó un grupo control (CON) y la otra mitad el experimental (EXP). Realizaron a ambos grupos, al iniciar el estudio, una RMF (TIME 1), haciendo dos tareas (Stroop y No-Go minus Go) que evalúan el autocontrol y la atención. Solamente el grupo EXP entrenó con neurofeedback, mientras que el CON estaba en lista de espera. Después de 20 sesiones de entrenamiento repitieron a ambos grupos la RMF (TIME 2), junto con las dos tareas antes mencionadas (ver imágenes de este y el siguiente párrafo).

La primera RMF reveló activación en la zona parietal en ambos grupos en ambas tareas. Mientras que la segunda RMF, reveló solamente en el EXP activación adicional en zonas subcorticales, prefrontales y del giro del cíngulo. Todas esas zonas están relacionadas con autocontrol de la conducta, regulación de la atención y de las emociones.

Este estudio demostró por primera vez que el neurofeedback provoca cambios reales en el cerebro, los cuales están relacionados a los cambios cognitivos y conductuales de los clientes.

Fig. 3. Imagenes de la RMF de dos grupos, uno control y otro de niños con TDAH antes y después de entrenar con neurofeedback (sólo este último grupo).

Fig. 4. Imágen de RMF del grupo con TDAH después de entrenar con neurofeedback, al hacer una tarea que impica inhibición de la conducta.

El futuro de la terapéutica en enfermedades neurológicas o psiquiátricas, se dirige a la utilización de métodos efectivos-no invasivos, que puedan corregir patrones mal adaptativos de las funciones del cerebro.

Por otra parte, Zotev y cols. (sf.) fueron los primeros en publicar un estudio en donde de forma simultanea entrenaron  con imágenes de RMF y neurofeedback la autoregulación emocional. En el estudio participaron personas sanas, en una tarea de inducción a emociones positivas que consistía en recordar memorias autobiográficas felices.

Los participantes fueron capaces de controlar de forma simultanea dos zonas del cerebro relacionadas con la regulación emocional (ver imagen en este párrafo). Por un lado, a través de la RMF,  la activación de la amígdala izquierda  y por otro, con el electroencefalograma la asimetría de la potencia de la banda beta alta del área prefrontal.

Otros investigadores han realizado ya aplicaciones de estas metodologías en pacientes con enfermedades psiquiátricas como la depresión. Young y cols. (2014) reportaron mejorías significativas en el estado de ánimo de pacientes con depresión al ser entrenados con neurofeedback  y RMF. 

 

El futuro de la terapéutica en enfermedades neurológicas o psiquiátricas, se dirige a la utilización de métodos efectivos-no invasivos, que puedan corregir patrones mal adaptativos de las funciones del cerebro.

 

¿Deseas más información? WhatsApp: 332 827 9402 o deja tus datos en la página de inicio de este sitio web.

 

Referencias y lecturas recomendadas:

 

Dewiputri1, W.I. y Auer, T. (2013). Functional Magnetic Resonance Imaging (fMRI) Neurofeedback: Implementations and Applications. Malays J Med Sci.; 20(5): 5-15.

 

Levesque, J., Beauregard, M., Mensour, B., (2006). Effect of neurofeedback training on the neural substrates of selective attention in children with attention-deficit/hyperactivity disorder: a functional magnetic resonance imaging study. Neurosci. Lett. 394, 216-221.

 

L.E. Stoeckel1 L. E. y cols. (2014). Optimizing Real Time fMRI Neurofeedback for Therapeutic Discovery and Development. posted online March 18, 2014; doi: http://dx.doi.org/10.1101/003400

 

Young KD, Zotev V, Phillips R, Misaki M, Yuan H, et al. (2014) Real-Time fMRI Neurofeedback Training of Amygdala Activity in Patients with Major Depressive Disorder. PLoS ONE 9(2): e88785.  doi:10.1371/journal.pone.0088785

 

Zotev, V. y cols. (sf.). Self-regulation of human brain activity using simultaneous real-time fMRI and EEG neurofeedback.  http://arxiv.org/ftp/arxiv/papers/1301/1301.4689.pdf